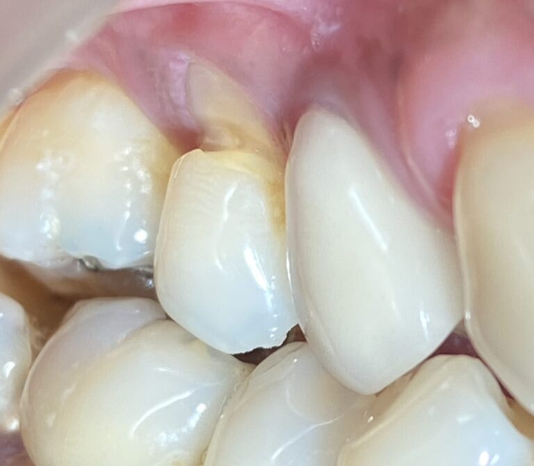
Você já percebeu uma ao olhar ou a passar a pontinha da uma escavação, sulco ou “buraquinho” perto da gengiva, bem na base do dente? Este título é para você :Você tem sensibilidade no pé do dente ou sentiu um “buraco” ? Entenda o que pode ser e quando procurar um dentista.
Muitas pessoas notam essa alteração ao passar a língua, durante a escovação ou quando sentem sensibilidade ao frio, salgado, calor ou doce.
Esse problema é mais comum do que parece, mas também é um dos mais ignorados, principalmente porque o problema evolui devagar e de repente a dor aparece, o que gera muita confusão e atraso no tratamento.
Neste artigo, você vai entender:
- Quais são os nomes populares mais comuns
- O que pode causar esse “buraco no pé do dente”
- Quando o problema é grave
- Como é o tratamento
- E por que tratar cedo evita dor, gastos e muitos outros problemas
🔎 Como as pessoas costumam chamar esse problema?
No consultório, é muito comum ouvir frases como:
- “Doutor, tem um buraco no pé do meu dente”
- Cárie na linha gengival
- Cárie radicular ou cárie na raiz (quando a raiz está exposta)
- Buraco no dente perto da gengiva
- Escavação no pé do dente
- Furo no dente perto da gengiva
- Cárie no pé do dente
- Sensibilidade e buraco perto da gengiva
- dor no pé do dente
- sensibilidade no colo do dente
- dentina exposta
- dente está escavado perto da gengiva
- “Sinto dor bem na raiz do dente”
- “Tem um sulquinho sensível que dói quando escovo”
Esses nomes populares normalmente se referem a alterações que acontecem na região do colo do dente, aquela pertinho de onde o esmalte fica mais fino, e cada pessoa acaba descrevendo o modo com que vê, ou seja, na área onde o dente encontra a gengiva.
O que realmente pode estar acontecendo?
Apesar das descrições parecerem iguais, existem várias causas diferentes, e cada uma exige um tipo específico de tratamento.
1️⃣ Cárie no pé do dente (cárie na linha da gengiva)
Essa é uma das causas mais comuns. O que acontece é que as bactérias agem sobre o dente fazendo uma cárie e ela pode surgir bem próxima à gengiva, criando um buraco visível, geralmente escuro e sensível.
🔴 Sintomas comuns:
- Dor ao frio, doce, salgado ou toque
- Sensação de “buraco” com a língua
- Mau hálito localizado
- Sensibilidade crescente
Vale lembrar que quanto mais cedo tratar, mais simples é o procedimento.
2️⃣ Dente sensível por desgaste (sem cárie)
Nem tudo que faz um buraco no dente é cárie. Alguns dentes sofrem desgaste do esmalte, formando um sulco ou escavação, mas sem bactéria.
As principais causas são:
- Escovação muito forte
- Escova de cerdas duras
- Uso excessivo de produtos abrasivos
- Bruxismo (apertar ou ranger os dentes)
- Consumo frequente de alimentos ácidos
🔴 Sintomas comuns:
- Dor rápida ao frio, doce, salgado ou toque
- Incômodo ao escovar
- Área lisa, em formato de “V” ou “U”
3️⃣ Gengiva retraída (raiz do dente exposta)
Quando a gengiva “desce”, a raiz do dente fica exposta.
A raiz é mais sensível e menos resistente que o esmalte.
Por isso, muitas pessoas sentem:
- Dor localizada
- Sensibilidade intensa
- Sensação de que o dente está “mais comprido”
- Aparência de escavação perto da gengiva
⚠️ A retração gengival não volta sozinha e tende a piorar sem tratamento.
4️⃣ Lesões cervicais não cariosas (abfração, abrasão ou erosão)
Esses nomes técnicos modernos descrevem os mais diversos tipos de desgastes estruturais do dente, geralmente causados por forças excessivas da mastigação ou hábitos inadequados.
É muito comum em pacientes que:
- Rangem ou apertam os dentes
- Têm estresse elevado
- Possuem mordida desalinhada
- Possuem problemas da Articulação Mandibular
Essas lesões causam:
- Sulcos profundos
- Sensibilidade
- Risco de fratura dentária com o tempo
⚠️ Quando esses problemas se tornam perigosos?
Ignorar quando se vê algo errado pode fazer com que as coisas piorem podendo levar a:
- Aumento expressivo da dor
- Progressão da cárie ou da lesão
- Inflamação gengival
- Amolecimento do dente
- Possível necessidade de tratamento de canal
- Fratura do dente (quebra)
- Problemas no osso que sustenta o dente
- Perda dentária
O que começa pequeno raramente para sozinho.
🛠️ Como é o tratamento?
O tratamento sempre depende das causas, que podem ser uma ou várias, mas pode incluir:
✅ Aplicação de medicamentos Limpeza profissional
✅ Tratamentos gengivais
✅ Interações entre o dentista e outros profissionais da saúde (médicos, psicólogos, fonoaudiólogos e etc.)
✅ Restauração estética na base do dente
✅ Selamento da área sensível
✅ Ajuste da mordida
✅ Tratamento da gengiva
✅ Orientação correta de escovação
✅ Uso de protetores noturno (em casos de bruxismo)
💡 Na maioria dos casos, o procedimento é rápido, indolor e conservador quando feito no início.
Por que procurar um dentista o quanto antes?
Uma grande quantidade de pessoas só busca tratamento quando dor aparece, mas saiba você que o melhor momento é muito antes disso. Uma avaliação profissional periódica permite:
- Identificar se é cárie ou desgaste
- Evitar tratamentos mais caros
- Preservar a estrutura natural do dente
- Reduzir sensibilidade
- Melhorar estética e conforto
Então se você já percebeu algo diferente no pé do seu dente tais como:
- Sente sensibilidade frequente
- Notou um sulco ou buraco perto da gengiva
- Tem dor ao escovar ou beber algo gelado
- Ou simplesmente quer prevenir problemas maiores
Um diagnóstico correto faz toda a diferença entre um tratamento simples hoje ou um problema maior amanhã.









